专栏-今日房县网-- 房县门户
  • 新闻热线:0719-3231616
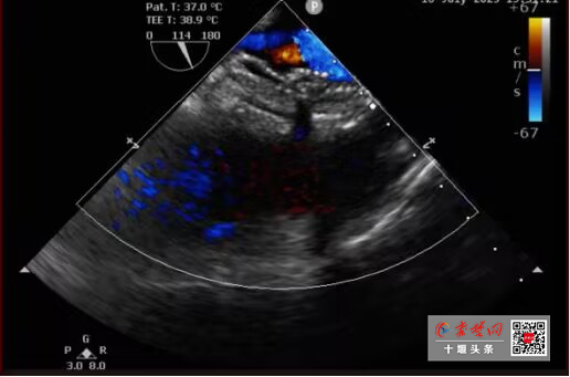
  • 全国首例!十堰人医“双降解”封堵术巧补心脏双“洞”不留痕
    全国首例!十堰人医“双降解”封堵术巧补心脏双“洞”不留痕
    今日房县网讯 通讯员 秦洪涛  马婷婷 沈俊 报道:近日,十堰市人民医院心脏中心实现重大突破,成功为一名27岁双孔型房间隔缺损(ASD)患者植入全国首例双生物可降解封堵器。这项高难度手术的圆满成功,不仅完美修复了患者的心脏,更…
  • 贺大林教授专家团队工作站落户十堰市人民医院
    贺大林教授专家团队工作站落户十堰市人民医院
    今日房县网讯 通讯员 朱君龙  阮靖雯 报道:8月7日,西安交大泌尿外科研究所所长贺大林教授专家团队工作站揭牌暨学科带头人能力提升培训班开班仪式在十堰市人民医院举行。此举标志着该院泌尿外科高水平学科建设迈上新台阶,将为鄂西…
  • 十堰市人民医院成功治愈舌咽神经痛
    十堰市人民医院成功治愈舌咽神经痛
    今日房县网讯 :近日,十堰市人民医院神经外科二病区成功为一名70多岁的舌咽神经痛患者陈大爷实施精准血管减压术。术后,患者恢复良好,已康复出院,重享无痛生活。过去一年多来,陈大爷无法正常吃饭、喝水甚至咳嗽。每一次动作都可能…
  • 匆忙推进来,从容走出去!“车城工匠”张发针灸抢救腰部“锁死”患者立竿见影
    匆忙推进来,从容走出去!“车城工匠”张发针灸抢救腰部“锁死”患者立竿见影
          今日房县网讯 通讯员 马婷婷 报道:8月4日,十堰市人民医院传统中医针灸科上演震撼一幕:因腰椎间盘严重脱出被“钉”在转运平板车上、完全丧失行动能力的外科医生赵先生,经该科负责人第七届“车城工匠”张发一小时针灸治疗后…
  • 十堰人医中医医学中心用心守护“银发”健康
    十堰人医中医医学中心用心守护“银发”健康
          今日房县网讯 通讯员 马婷婷 报道:近日,在十堰市人民医院中医科2病区/脑病科,患者家属邓女士将一面印有“医术精湛 医德高尚”的锦旗送到田书芳副主任医师手中,表达对科室全体医护人员的由衷感谢。        这份感激源…
  • 七旬老太罹患高位食管癌 十堰人医微创“胃代食管”创奇迹
    七旬老太罹患高位食管癌 十堰人医微创“胃代食管”创奇迹
    今日房县网讯 通讯员 龚亮  马婷婷 报道:78岁的黄奶奶(化姓)怎么也想不到,半年前的一点点“咽炎”竟是高危的高位食管癌。面对传统开胸手术的巨大风险,十堰市人民医院心胸大血管外科团队另辟蹊径,运用“胸腔镜+腹腔镜”联合微创…
  • 女子一动就头晕,问题竟出在耳朵!十堰医生提醒
    女子一动就头晕,问题竟出在耳朵!十堰医生提醒
    十堰市民罗女士(化姓)最近总是不明原因地感觉“天旋地转”躺平休息几秒后立马好转可一旦翻身或摇头眩晕感又马上出现 意识到不是偶发问题的罗女士前往十堰市人民医院就诊医生经过仔细检查后揭秘:“幕后黑手”就藏在耳朵里!  一翻…
  • 心胸大血管外科食管癌微创技术赢得高龄患者好评
    心胸大血管外科食管癌微创技术赢得高龄患者好评
    今日房县网讯 通讯员 马婷婷  王强 报道:近日,十堰市人民医院心胸血管外科成功为一位高龄食管癌患者实施微创手术治疗,患者顺利康复,家属将一面写着“医术精湛、医德高尚,尽职尽责,情暖人心”的锦旗赠与心胸大血管外科副主任王强…
  • 十堰人医:医者仁心赢赞誉 微创技术克难关
    十堰人医:医者仁心赢赞誉 微创技术克难关
    今日房县网讯 通讯员 仁医 报道:近日,十堰市人民医院心胸血管外科成功运用胸腹腔镜联合微创技术,为一位78岁高龄且合并多种基础疾病的食管癌患者谢女士实施了根治手术,患者术后恢复良好。本例手术的成功,充分展现了十堰市人民医…
  • 异位妊娠破裂命悬一线!十堰人医多学科合作帮患者抢回生机
    异位妊娠破裂命悬一线!十堰人医多学科合作帮患者抢回生机
    今日房县网讯 通讯员 秦洪涛  万青 报道:近日,在十堰市人民医院妇科2病区病房内,康复出院的肖女士(化名)在丈夫的陪同下,将两面锦旗和一封手写感谢信,郑重地送到了医护人员手中。锦旗上分别写着“术贯中西除病痛 刀含仁术救危…
    • 首页 上一页 20 21 22 23 24 25 26 下一页 尾页 共2049/共205页

    主办:中共房县县委 房县人民政府 承办:房县融媒体中心 版权所有,未经许可不得复制或镜像

    Copyright © 2017 编辑部:0719-3231616 投稿邮箱:fxxwzx@163.com 鄂ICP备10202578号 鄂公网安备42032502000105号

    扫描下方二维码关注今日房县微信公众号、今日房县报手机版