市人民医院-今日房县网-- 房县门户
  • 新闻热线:0719-3231616
  • 长期站立,她患上这种病,太痛苦了!十堰医生提醒
    长期站立,她患上这种病,太痛苦了!十堰医生提醒
    这种病很多人都有 不仅影响美观 严重的还会疼痛、溃烂甚至影响走路出行 来自浙江的何女士(化姓)不幸患上了静脉曲张 多方治疗无果,痛苦不堪 近日她不远千里来到十堰求医 人医医生用这种方法治好了! 她从浙江来十堰求医多年的静脉曲…
  • 新突破!十堰人医完成首例经皮双侧肾上腺静脉采血术
    新突破!十堰人医完成首例经皮双侧肾上腺静脉采血术
    今日房县网讯 通讯员 秦洪涛 马婷婷 报道:近日,十堰市人民医院心内一病区介入团队成功独立完成经皮肾上腺静脉采血术(AVS),帮助一例原发性醛固酮增多症患者精准找到了其高血压致病的“真凶”。今年27岁的夏女士,16岁开始出现肥胖…
  • “牛皮癣”不可怕!十堰人医规范治疗助你摆脱“银”影
    “牛皮癣”不可怕!十堰人医规范治疗助你摆脱“银”影
    十堰广电讯(通讯员 马婷婷)银屑病俗称“牛皮癣”,因为难治愈、易复发的特点,“牛皮癣”已经成了“顽疾”的代言人。随着全球气候的改变,以及整个生存环境的变化,世界范围内的银屑病人群越来越多。据不完全统计,全球约有1.25亿银屑…
  • 经鼻潜入脑,切瘤不伤脑 十堰人医成功实施经鼻蝶垂体瘤微创切除术
    经鼻潜入脑,切瘤不伤脑 十堰人医成功实施经鼻蝶垂体瘤微创切除术
    秦楚网-十堰头条讯 文、图/记者 秦洪涛  特约记者 马婷婷 报道:近日,十堰市人民医院神经外科一病区戴永建主任团队成功完成一例神经内镜下经鼻蝶垂体瘤切除手术,运用一根直径仅有几毫米的内窥镜,经由鼻腔,直达病变部位,通过小切…
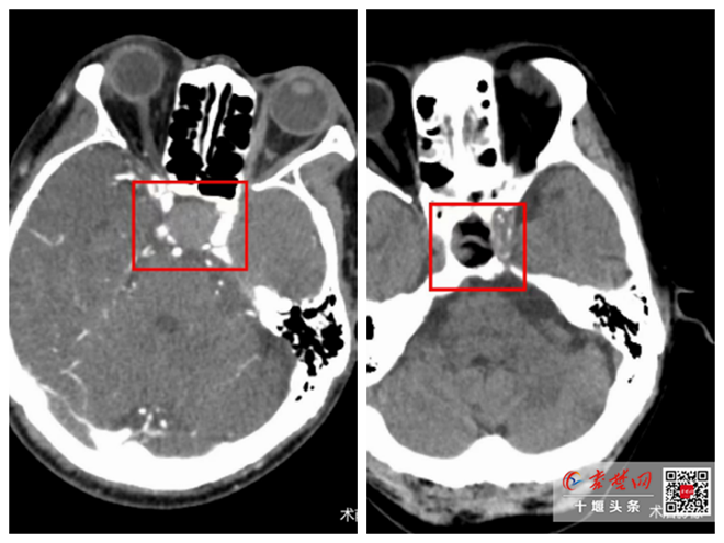
  • 肺部血管畸形引发脑梗塞 十堰人医介入科成功开展肺动静脉瘘介入治疗
    肺部血管畸形引发脑梗塞 十堰人医介入科成功开展肺动静脉瘘介入治疗
    秦楚网-十堰头条讯 文、图/记者 秦洪涛 特约记者 马婷婷 彭晓丽 通讯员 张正宇 报道:近日,十堰市人民医院介入科、神经内科、重症医学科成功联合诊治了一例因肺动静脉瘘引发的反常脑梗塞患者,赢得患者及家属赞誉。该疑难病例的成…
  • 年轻男子反常脑梗塞 十堰医生捕获致命“元凶”
    年轻男子反常脑梗塞 十堰医生捕获致命“元凶”
    十堰广电讯(通讯员 马婷婷 张正宇)日前,十堰市人民医院介入科、神经内科、重症医学科成功联合诊治了一例因肺动静脉瘘引发的反常脑梗塞患者,赢得患者及家属赞誉,该疑难病例的成功救治体现了十堰人医作为秦巴山核心医院高水平的综合…
  • 跨省合作 同心筑梦 市人民医院与厦门大学附属第一医院“喜结连理”
    跨省合作 同心筑梦 市人民医院与厦门大学附属第一医院“喜结连理”
    十堰广电讯(通讯员 阮靖雯)10月30日下午,市人民医院与厦门大学附属第一医院缔结友好协作医院揭牌仪式在市人民医院举行,双方共同携手绘就两地卫生健康事业高质量发展的美好前景。厦门大学附属第一院党委副书记、院长王占祥,十堰市委…
  • 招聘!公立三甲、事业编制、高薪待遇.....
    招聘!公立三甲、事业编制、高薪待遇.....
    十堰市人民医院 2025年度人才招聘开始啦我们为你准备了一份“令人心动的offer”!诚邀每一位心怀梦想的你和我们一起共谋发展、共创未来!十堰市人民医院是一所集医疗、教学、科研、急救预防、保健、康复于一体的现代化综合性国家公立三…
  • 6旬老人食道癌无法饮食 十堰人医传统中医针灸科张发为其解忧
    6旬老人食道癌无法饮食 十堰人医传统中医针灸科张发为其解忧
    秦楚网-十堰头条讯 记者 秦洪涛 特约记者 马婷婷 报道:“父亲差不多7天都无法进食进水,实在没办法才打算尝试一下中医针灸,没想到才扎了一次,就真真切切感受到中医的神奇。”10月28日,在十堰市人民医院传统中医针灸科,看着父亲田…
    • 首页 上一页 56 57 58 59 60 61 62 下一页 尾页 共677/共68页

    主办:中共房县县委 房县人民政府 承办:房县新闻中心 版权所有,未经许可不得复制或镜像

    Copyright © 2017 编辑部:0719-3231616 投稿邮箱:fxxwzx@163.com 鄂ICP备10202578号 鄂公网安备42032502000105号

    扫描下方二维码关注今日房县微信公众号、今日房县报手机版