
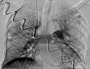
肺动脉左右分支大量血栓(左边血栓说明) 下腔静脉大范围血栓(滤器置入拦截)(右图血栓说明)
秦楚网-十堰头条讯 文、图/记者 秦洪涛 特约记者 马婷婷 通讯员 张正宇 报道:近日,十堰市人民医院介入科联合多学科,采用肺动脉导管取栓、下腔静脉滤器拦截血栓、下肢深静脉溶栓等综合介入手段,成功抢救一例重症肺栓塞病例,赢得患者及临床专科赞誉。
介入科作为十堰市人民医院急危重症救治团队成员,全员保持24小时待命状态。近期某日中午,十堰市人民医院介入科急诊班医师接到紧急会诊通知,一名患者在上厕所时突然晕倒,血压急剧下降至休克血压且难以维持、心率加快,高度怀疑重症肺栓塞。得知情况后,介入科副主任谢兴武博士迅速到科,结合临床资料,基本考虑重症肺栓塞,建议立即行急诊影像学检查,同时迅速报告陈光斌主任,组织急诊介入小组成员迅速到位。
果不其然,行D-二聚体、彩超、CTA等检查,结果彩超提示双下肢深、浅静脉血栓广泛形成,CT提示双肺动脉干骑跨栓塞,进一步证实了谢兴武博士的判断。重症肺栓塞危及生命,时间就是生命,开展急诊介入已刻不容缓!
十堰市人民医院介入科迅速科内会诊,并制定周密、详细的介入治疗方案。术中,专家团队严格按照手术方案进行手术,第一步完成下腔静脉滤器,拦截血栓,放射介入专家陈光斌、谢兴武、李江山等专家团队全力以赴,在下腔静脉情况不明,有无血栓无法再看的情况下,果断采取从颈静脉穿刺,下腔静脉手推造影。而患者的严重程度让多位专家倒吸一口凉气,只见下腔静脉中下段大块血栓形成,栓头邻近双肾静脉,血栓随时可能脱落。

见此情形,放射介入专家小心翼翼操作,将滤器死死卡住血栓头,接下来就是第二步:完成肺动脉开通。重症医学科专家加大氧流量,血管活性药物稳定血压,为介入操作创造时间,同时介入专家猪尾巴导管上、导引导管上,不停进行各段抽吸、取栓,经过一个小时的精细操作,功夫不负有心人,双肺动脉干通了,主要肺动脉分支通了,肺血管网明显增多了,患者的情况也好转了起来!也就意味着第二步操作成功!随后的第三步,介入专家对下肢血栓进行了抽吸、取栓,并置入溶栓导管进行持续药物灌注溶栓。又经过两个小时,在两科的密切合作下,整台手术顺利完成。
手术完几个小时,当天下午就传来好消息,患者生命体征明显好转。在放置导管的第三天,患者再次来介入科造影,发现肺栓塞基本消失,下肢血栓明显消失,滤器继续卡住下腔血栓!经过多学科努力,通过综合介入各种手段,重症肺栓塞患者抢救成功!
据十堰市人民医院介入科医学博士谢兴武介绍,下肢深静脉血栓被称谓“沉默的杀手”,常见于长期卧床、久坐不动、腹压增高如妊娠生产后、腹腔肿瘤压迫等,一些特殊疾病如肿瘤、肾病、自身免疫性疾病、易栓症等,一些特殊静脉血管疾病如布加氏综合症、髂静脉压迫综合症、严重右心衰等,上述情况常导致血流缓慢、血液高凝、血管损伤等,形成下肢深静脉血栓,血栓形成急性期并不稳定,很可能发生血栓脱落而造成肺栓塞,重者危及生命甚至猝死、心脏骤停等。急性期血栓若不及时处理,血栓范围较大情况下可造成下肢深静脉血栓后遗症(下肢反复肿胀,静脉曲张,皮肤感染、破溃、坏死等),严重影响患者生活质量,故静脉血栓症必须迅速诊断,启动一站式介入治疗,开通血管、恢复血流。
据了解,十堰市人民医院介入科于2009年取得省卫生厅外周血管介入准入资质,一直致力于外周血管介入治疗工作,目前是湖北省介入医学专委会常委单位、中国出血中心委员单位、长江中游输卵管介入常委单位、中国静脉介入协作组单位、中国妇幼介入委员单位等。近年来,十堰市人民医院介入科积极探索钻研,在多学科支持、合作下,多项静脉介入技术在十堰地区率先开展,静脉介入诊治逐渐形成特色。
十堰市人民医院介入科诊治范围如下:
一、血管疾病
1、出血性疾病(括鼻腔出血、咯血、消化道出血、腹盆腔出血、外伤出血等、医源性岀血、肿瘤或血管疾病出血等);
2、外周血管疾病(动静脉畸形、动静脉漏、动脉瘤、动脉夹层、血管狭窄及闭塞等);
3、门脉高压症、布加氏综合症的介入微创诊疗;
4、血栓性疾病、重症肺栓塞综合介入治疗(下腔静脉滤器置入术、取栓术);
5、DSA导航下下肢静脉曲张经皮穿刺泡沫硬化术、射频消融术。
二、肿瘤疾病
1、良性肿瘤(各部位血管瘤、子宫肌瘤等)介入微创治疗;
2、恶性肿瘤(肝癌、肺癌、胃癌、胰腺癌、肾癌、骨肉瘤等)动脉栓塞、粒子植入、微波消融微创治疗。
三、腔道疾病
1、气管、食道、胆道、肠道、尿道等腔道狭窄及梗阻性病变介入微创治疗;
2、经鼻空肠营养管置入、肠梗阻导管置入术;
3、输卵管阻塞性不孕症综合介入:导丝疏通+臭氧灌注+药物灌注。
四、疼痛疾病
1、射频消融术、臭氧消融术、化学消融术、切吸术—综合介入治疗椎间盘突出症;
2、经皮椎体成形术—微创治疗脊椎骨折、血管瘤、骨髓瘤、转移瘤等。
五、介入减容术
1、脾功能亢进、甲状腺功能亢进内科性脾切除术;
2、难治性前列腺增生动脉栓塞术;
3、介入微创减肥术。
六、CT介入诊断、治疗
1、肺结节穿刺活检、微波消融;
2、肝、脾、肾、胰腺、腹腔、盆腔肿块穿刺活检;
3、骨肿瘤穿刺活检、骨水泥注射;
4、CT引导下经皮胃造瘘术;
5、其它部位的穿刺活检











