近日,十堰市人民医院肝胆胰腺外科团队凭借精湛的微创技术,成功为一位肝脏上长有直径约14厘米巨大血管瘤的患者实施了腹腔镜下肝巨大血管瘤切除术,不仅挽救了患者的生命,更在术后快速康复方面取得了显著效果,赢得了患者及家属的高度赞誉。
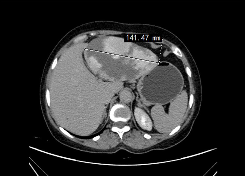
今年50多岁的任女士近期突感腹胀。起初,她并未将腹胀放在心上,以为只是普通的肠胃不适。但随着时间的推移,任女士少量进食就会导致严重腹胀,而且在肚子上还能摸到隆起的包块,遂赶紧到十堰人医肝胆胰腺外科门诊就诊。然而,初步的检查结果却让在场的所有人大吃一惊:她的肝脏上竟然长出了一个直径约14厘米的巨大肿瘤!面对这突如其来的结果,任女士及其家人陷入焦虑。因情况危急,接诊医生将其收入院接受治疗。
入院后,经过进一步的详细检查发现,任女士肝脏上的肿瘤为肝血管瘤,体积巨大,压迫了周围的消化道,这是导致任女士持续腹胀症状的主要原因,但好在这是个良性肿瘤。不过由于任女士的血管瘤体积庞大,一旦破裂,后果将不堪设想,可能引发大出血等严重后果,甚至危及生命,需紧急手术治疗。

术前腹部CT照片
时间紧迫,十堰人医肝胆胰腺外科团队迅速行动,精心制定了切实可行的腹腔镜下肝巨大血管瘤切除术。对于患者而言,微创手术具有创伤小、恢复快等优点,但医生要微创切除如此巨大的血管瘤,术中难度和风险仍不容小觑。由于患者的腹腔空间有限,巨大的肿瘤又紧邻周围大血管,并且血管瘤长期的生长已与周围的组织密切的粘连在一起,稍有不慎就可能引发大出血,导致手术失败甚至危及患者生命,这对主刀医生的技术要求极高。
2025年1月2日,在经过周密的术前安排后,十堰人医肝胆胰腺外科副主任涂华华主刀为患者实施手术。术中,涂华华带领团队凭借精湛的操作技巧和丰富的临床经验,在患者狭小的腹腔里进行着一场精密的“雕刻”,小心翼翼地将肿瘤与周围组织分离。经过约2小时的紧张手术,涂华华团队成功地将这个巨大的血管瘤完整切除。值得一提的是,整个手术过程中出血量不到50毫升,并且极大限度保留了患者的正常肝脏,充分展示了十堰人医肝胆胰腺外科团队在微创手术方面的精湛技艺。

术后,十堰人医肝胆胰腺外科团队结合任女士的实际情况制定了详细的快速康复策略。在全体医护人员的精心照料下,任女士恢复得非常顺利。术后第二天,就能下床活动;不到48小时就恢复了全经口进食,而且之前少量进食就腹胀的症状完全消失,可以放心的“大快朵颐”;术后第7天,恢复良好的任女士顺利康复出院。
当看到术中拍摄的血管瘤照片和腹部手术切口时,任女士不禁感慨万千:“你们技术太牛了!没想到这么轻松就摘除我体内的巨大肿瘤,而且这么短的时间就能恢复出院,真是太感谢你们了!”
未来,十堰市人民医院肝胆胰腺外科团队将继续不断提升医疗技术水平和服务质量,为更多的患者带来健康和希望。同时,专家提醒广大市民要时刻关注自己的身体健康,有问题及时进行检查,做到早发现、早诊断、早治疗。











